网站首页
关于我们
公司简介
企业文化
产品中心
牙科材料
牙科设备
牙科耗材
文件下载
新闻中心
新品推荐
展会活动
教育中心
课程中心
指导视频
病例分享
|
EN
ES
PT
FR
搜索
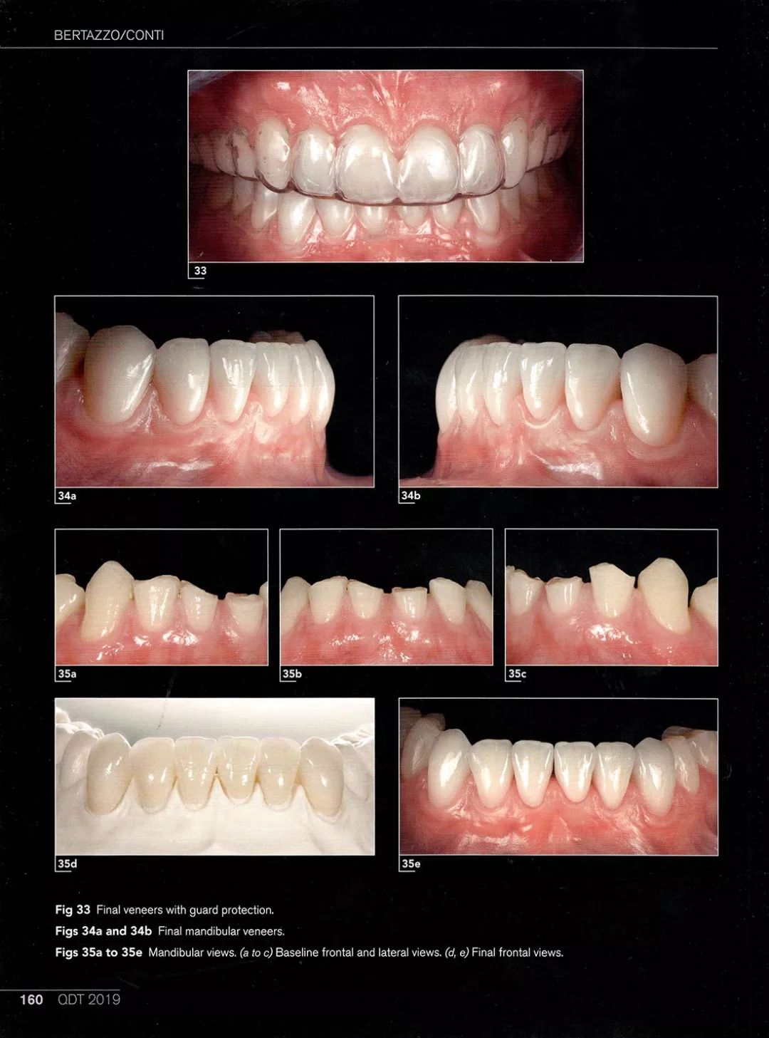
病例分享 | 正畸修复病例的美学贴面
作者:壹凌医疗
时间:2023-07-18 06:42:10
浏览:809
上一篇:
病例分享标题
下一篇:
病例分享 | 数字化引导下的即刻种植
022-88522665
×
确定
电话咨询
官方账号
壹凌医疗
微信扫一扫