01 患者情况
年龄:52
性别:女
现病史:患者右下后牙多年前行银汞充填,边缘密合度差,咀嚼不适,来诊要求处理
既往史:患者体健,否认高血压、心脏病等系统疾病史
02 术前检查
口外检查
●面型左右对称,开口度三指,开口型正常
●颞下颌关节未见明显异常
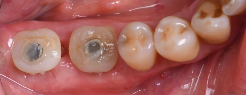
口内检查
●口腔卫生尚可,软垢I°,牙龈质地韧,颜色正常
●46、47牙见大面积银汞填充物,边缘密合度差,无松动,叩痛(—),牙髓温度测试无反应
●垂直向及水平向咬合空间正常
影像学检查
●46、47牙冠部见大面积银汞充填影像,充填物边缘影像见低密度影像,根管内见根充物影像(欠充),根尖未见低密度影像,牙槽骨宽度及高度条件良好



03 治疗计划
●采集CBCT数据和口内扫描,进行数字化设计

●椅旁设计种植导板

●根据种植体位置设计个性化愈合基台

●15分钟快速打印种植导板

●快速打印愈合基台

04 手术
●局麻下,快机磨平牙冠
●种植导板就位贴合
●在种植导板引导下逐级钻孔,植入植体,佩戴个性化愈合基台体
两周后拆线复查,术后愈合良好,叮嘱患者做好口腔卫生。

05 总结
口腔种植手术数字化种植导板是将术前虚拟设计的种植体方案精确转移至患者口内的个性化手术辅助配件。帮助临床医生在手术中精确控制个性化基台植入的位置、方向、角度甚至是深度,使得最终的种植修复与术前的理想设计方案实现统一,同时数字化下的即刻种植,缩短了手术时间,提升了患者就诊体验感。
依托3D打印技术
打通齿科数字化全链条
壹凌医疗
将为您提供一站式数字化解决方案
做好口腔医疗综合解决方案服务商
下一篇:病例分享 | 全程导板即刻修复