01 患者情况
主诉:22,男,上前牙先天缺失,要求种植修复
现病史:正畸治疗后,12和22缺失
既往史:否认全身性系统性疾病,无抽烟,夜磨牙习惯,曾进行过正畸治疗,现戴保持器维持
02 术前检查
口外检查
患者表情自然,左右脸稍不对称,颌面部软组织未见明显异常

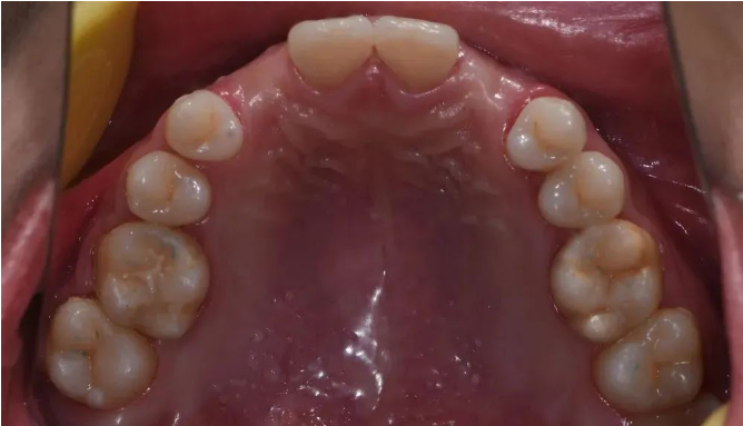
口内检查
12、13、22、23先天缺失
患者缺牙间隙偏宽,唇侧轮廓轻度塌陷,息止颌位切端暴露量正常


影像学检查
骨宽度稍欠,骨宽度约4.0mm,骨高度约15mm
邻牙未见明显异常

03 治疗计划
患者倾向治疗方案:种植修复,美观要求中等
方案1:建议正畸调整间隙,改善咬合,后种植12、22牙。
方案2:14、24贴面修复,12、22种植修复
患者不接受再次正畸,选择方案2
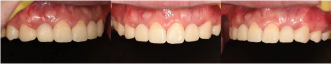
椅旁口内扫描

数字化软件进行微笑美学设计

将二维效果转变成三维效果,设计13-23的美学效果,并打印出模型

在口内进行展示


根据最终的美学蜡型效果进行椅旁种植导板设计


根据种植体位置,设计带翼预成临时冠

15分钟快速打印种植导板

椅旁快速打印预成临时冠

04 手术
常规术前准备:
向患者介绍手术方案、费用、签署手术知情同意书
常规消毒,局麻等
种植导板在口内试戴,密合性良好

术式讨论:
全程导板引导下植入+舌侧PGBR+唇侧结缔组织移植
用钻顺序

手术步骤:
导板引导下预备,先锋钻预备后,取下导板,插入指示杆,显示方向良好
窝洞预备完成后探针探查唇侧骨壁完整,植入植体,方向良好
12牙扭矩25Ncm,22牙扭矩35Ncm
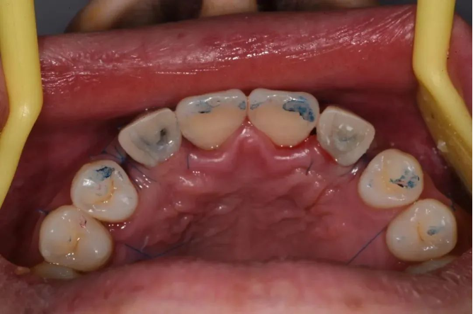
就位临时基台并将预成的树脂牙冠在口内Pick-Up
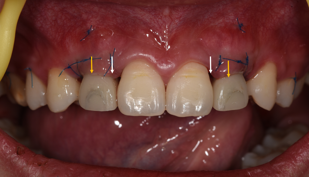
白色箭头示黑三角,原因分析:
1.因不是即刻种植,龈乳头处的软组织已是平坦的,缝合后龈乳头的形态欠佳
2.龈缘位置(黄色尖头示)较理想龈缘偏冠方,临时修复体颈部关键区凸起造成张力
改进:先将临时修复体关键区设计在冠根方,先确保龈乳头愈合良好,后期再塑形

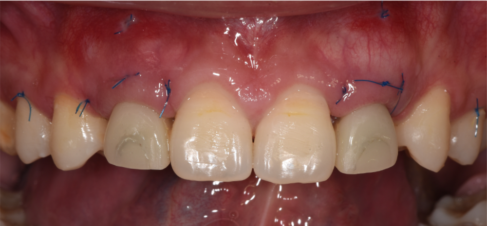
戴入临时修复体正面观

颌面观显示12、22区轮廓丰满度良好
临时修复体邻接良好

12、22牙正中及前伸运动无咬合接触
术前术后对比,22根方偏唇侧:
12牙

22牙

偏斜可能原因:腭侧皮质骨阻力较大,使钻针往唇侧偏斜

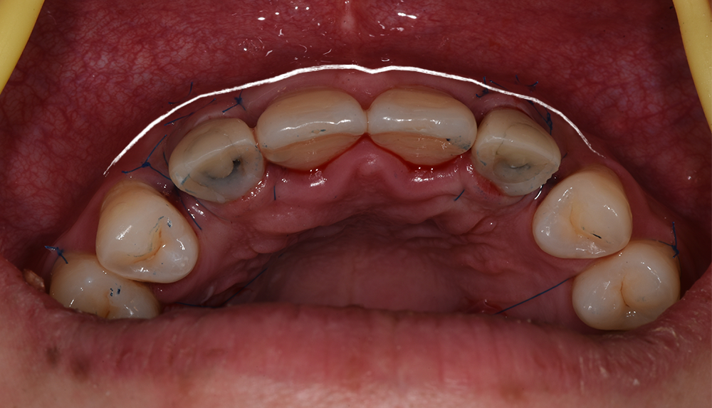
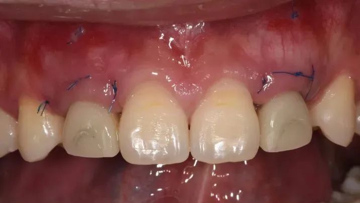
术后10天拆线,龈乳头处软组织较术后有所改善

术后10天拆线,唇侧褥式缝合保留未拆,拆线后取模制作保持器
05 总结
高笑线患者,通过数字化正面美学设计,指导数字化美学排牙,在口内进行美学展示后设计植体位置,在全程引导下植入植体,获得预期的美学和功能效果。
即刻修复不仅能满足患者术后美观和发音要求,还能利用临时修复体诱导种植体周围软组织生长出自然的穿龈轮廓。正确的临时冠外形突度能促进牙龈血液循环,为种植体周围软组织提供良好的支撑,也为后期的永久修复塑造良好的软组织形态。
06 产品推荐
此次病例使用的是一款兼具高精度和稳定性的大面板高效生产——YL-Rearlmaker MIX 3D打印机,采用进口DLP光固化快速成型技术,大尺寸打印平144*81mm,一次可排版4个下颌,最快打印速度100mm/小时,大大提高客户生产效果,支持打印修复模型、种植模型、种植导板、隐形正畸、蜡型打印、临时牙等,满足更多数字化齿科应用场景。